
Full Mouth Reconstruction
Transforming a Smile, Transforming a Life Our Full Mouth Reconstruction Results
Visit Brooklyn Heights Dental Where We Tailor Treatment to Your Needs
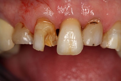
Severe oral health issues can make simple tasks, such as biting and chewing, quite difficult. These problems cannot be treated by cosmetic options like veneers.
Instead, they require personalized, comprehensive full mouth reconstruction, which Dr. Stanislaus offers at his Brooklyn Heights, NY, dentistry practice.
We can combine multiple procedures, like implants, dental crowns, and dentures, to restore the form and function of your smile. Our team tailors treatment plans around your needs, like your oral health, budget, and goals.
If you're ready to greet the world with a new smile, message our Brooklyn Heights dental practice or call
(718) 857-6639

Ready to Learn More?
Giving Brooklyn Patients A Reason to Smile
Professional. Patient. Knowledgeable. Informative. These are just a few of the words I could use to describe the Brooklyn Heights Dental staff. My appointments have been wonderful and I’m not a person who enjoys the dentist for the same reasons most people don’t but I can say without a shadow of doubt that this is the best practice I’ve been to EVER and they are so welcoming and skilled. It baffles me how I literally picked them on a random day off google!! Thank you so much!!
View on Google
Brooklyn Heights Dental is AMAZING!!! You are treated as though you are family. Always great energy and great work done.
Dr. Stanislaus and the Brooklyn Heights Dental staff ALWAYS take such great care of their patients. After having gone through so many bad dental experiences in the past; I have truly found my dental home.
Thank you so much BHD!!!
We Treat Underlying Issues For Comprehensive Care
/
Often, dental problems are the result of an underlying issue, such as periodontal disease or TMJ disorder. Dr. Stanislaus or Dr. Reid will address these concerns while planning your full mouth reconstruction at our Brooklyn-area practice.
Full Mouth Reconstruction Uses Procedures Like These
At our Brooklyn Heights practice, treatment is completely customized to your mouth. Options can include:
The Components Of Full Mouth Reconstruction
Interested?
Understanding the Difference Between Restorative and Cosmetic Treatment

Restorative
Restorative dentistry is used to improve the health and functionality of your teeth. Procedures can address periodontal disease, trauma, a medical condition like TMJ disorder, or a combination of all factors.
Ultimately, restorative problems must be treated, so that patients have a healthy mouth and full use of their teeth.
Potential procedures can be covered at least partially by insurance. They may include dental implants, dentures, and periodontal care.

Cosmetic
Cosmetic dentistry is used to address minor flaws in your smile, which can be caused by trauma, aging, or genetic factors. These flaws don't impact your oral health or the function of your mouth, but they may impact your confidence.
Because cosmetic treatment is not medically necessary, your insurance will not cover this kind of dentistry treatment.
If you have simple insecurities in your smile, you may be a candidate for veneers, teeth whitening, or Invisalign®.
Brooklyn Feels Comfortable With Our Caring Dentists
I don't normally post reviews, but this experience has been one of the best ones yet. From the moment, I called and I spoke to Theresa it was just amazing. I walked in and was greeted so warmly by the staff. I received the best cleaning from Jonathan who explained EVERYTHING to me. They were so warm and friendly. The Dentist was the nicest man ever. His bed side manners was top tier. I have finally found a Dentist office that treated me like I belonged there. Not to mention I received a little gift bag too. Thank you guys!
View on Google
WHAT A GREAT FIND!!! Dr. Eugene Stanislaus professional & gracious manner, meticulous fine art , care and expertise in the science of dentistry is Matchless! His staff is professional, kind, caring -a clear reflection of his training and standards...I know when I sit in Dr. Stanislaus’ chair, I’m in the safest care and thorough expertise. I can chew comfortably & boy! you should see my new smile!
To Dr. Stanislaus & his lovely staff , I Thank You for being here for us like this!



