
Invisalign
How Does Invisalign Work?
Your Invisalign treatment involves a series of clear aligners that gently shift your smile into proper alignment. The number of clear aligner trays and the frequency you change them out will depend on the concerns you want to fix and your unique case.

Are You a Candidate?
Candidates for Invisalign should have good oral health and be looking to address cosmetic and oral health concerns, such as:
- Gaps
- Underbite
- Crossbite
- Overbite
- Open Bite
- Overcrowded/Overlapping Teeth
- Crooked Teeth
- Temporomandibular Joint (TMJ) Disorder
Additionally, patients should have realistic expectations of their results. Some dramatic enhancements, such as lengthening the appearance of short or worn teeth, might only be possible with porcelain veneers, dental bonding, or dental crowns.
Is Invisalign Right for You? Request a Consultation
If you have minor to moderate dental misalignment concerns, Invisalign may be right for you. At our Brooklyn Heights, NY, office, our dentists can discuss how Invisalign can help your case and if it's the right treatment for you. We'll consider factors like your degree of misalignment, your budget, and how hands-on you want to be with your orthodontic treatment to see if Invisalign is a good option.
To learn more about Invisalign treatment and receive a custom treatment quote, contact our office or call:
(718) 857-6639

Read Our 5-Star Reviews "This Is the Place You Want to Be"
I have been coming to Brooklyn Heights Dental for 3 years now and It’s always been a 5 Star experience. Dr Stanislaus, is the kindest most patient dentist I’ve ever encountered. I’ve had cavities and many cleanings that have all gone smoothly and painfree. Currently I’ll be starting the journey into Invisalign thanks to Dr. Stanislaus and I’m so excited!!! Not to mention, the staff is so warm, caring, and considerate, especially when it comes to attending to all my scheduling needs! There’s is not a better dentist office out there!!!
View On GoogleHonestly- there are not enough words to detail how GREAT Brooklyn Heights Dental, Dr. Stanley and his staff are. From my very first visit- I was comfortable, tended to, and had every single question answered. I just finished my first of 2 procedures and everything is healing great. If you are looking through reviews to find the best place to go - LOOK NO FURTHER. This is the place you want to be.
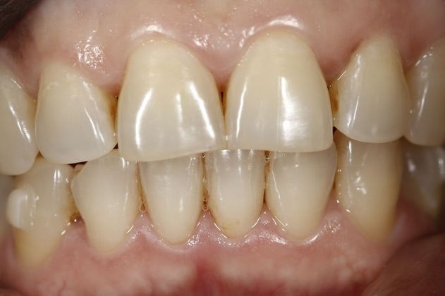
View on GoogleInvisalign Before and After Photos
Health Benefits of a Straighter Smile
Reduced Risk of Cavities
Tooth misalignment can make it difficult to maintain your oral health. Even if you follow a disciplined oral health care program that includes regular brushing and flossing, overlapping and crowding teeth can trap food and bacteria. This leads to plaque buildup, tooth decay, cavities, and gum disease.
Improve Jaw Alignment
Misaligned teeth can also cause improper jaw placement, which can lead to clenching, teeth grinding, poor nutrition, TMJ disorder, and pain in your neck and shoulders.
Maintain Overall Health
Research has shown that the health of your smile can affect your overall physical health. When tooth decay and gum disease are left unchecked, it not only leads to tooth loss and costly restorative procedures, it can also lead to an increased risk of diabetes and heart disease. A straighter smile equals a healthier body.
See How Invisalign Works
Schedule a Consultation
To ask a question about how much Invisalign will cost, how many aligners will be needed, and how long treatment will take, contact our practice to request a consultation. Our dentists will need to examine your mouth to determine the answers to these questions. Patients from Brooklyn Heights, Fort Greene, and surrounding areas can also reach our practice by phone:
(877) 481-8882
More 5-Star Reviews
Great service and location! I'll be back for my next cleaning.
View on GoogleVery professional, courtesy and friendly. Most gentle dentists I've ever worked with.
View on GoogleInsurance and Financing Accepted at Our Practice
/
We accept most insurance providers at our practice. If you don't have insurance or if your orthodontics procedure is not covered by insurance, we accept monthly financing through CareCredit®. You may also qualify to use a flexible spending account (FSA) for part of your Invisalign treatment.
The Treatment Timeline
Your Invisalign orthodontic treatment will be designed based on your unique needs but patients can generally expect several steps:
Invisalign treatment usually takes between 6 and 18 months.
Invisalign Alternatives
Despite its many benefits, Invisalign is not right for everyone. Most notably, this orthodontic option may not be appropriate for certain types of bite issues and severe malocclusion. During a consultation, we will make your treatment goals our number one priority.
If your doctor does not feel that Invisalign trays can provide the absolute best results, we will discuss your alternative options. The braces that orthodontists use today are more comfortable than in the past and often feature more discreet materials, such as tooth-colored brackets and clear wires. If you decide on standard braces, we can refer you to a trusted orthodontist in the Brooklyn area.


Want a Straight Smile Fast?
Consider Veneers
For Brooklyn patients with minor misalignment who want a faster route to straighter teeth, we offer veneers. Veneers are thin porcelain shells that sit on your natural teeth to conceal minor misalignments, chips, cracks, and other cosmetic dental concerns you want to hide.
Braces vs. Invisalign
Both traditional braces and Invisalign operate using the same principles. Both treatments employ constant and gentle pressure to realign teeth, improving both your oral health and your appearance.
Braces
Traditional braces are made up of metal brackets connected by a ligature wire. Small rubber bands, or O-rings, hold the wire in place. If you choose this method, your orthodontist will attach the brackets to your teeth and routinely tighten the wire. Over time, the gradually increasing force will cause your teeth to shift. Overall, treatment usually takes anywhere from 18 to 36 months.
Invisalign
Invisalign trays are made of a smooth, clear, BPA-free plastic material. They are comfortable and virtually invisible, providing teen and adult patients with a more discreet way to realign their smile. Every week or two, you switch to a new set of trays, slowly moving your teeth into alignment. Depending on the severity of your case, treatment can be completed in about six to 18 months.
Contact Our Practice
Our practice in Brooklyn Heights is adjacent to Fort Greene, and we are conveniently located for patients throughout Brooklyn, NY. Contact us online to ask a question or request a consultation. You can also reach us by phone at: (877) 481-8882
Read Our 5-Star Reviews "I Had a Very Pleasant Visit"
It was my first time at this dental office and my experience was exceptional from start to finish. The office staff was pleasant and the hygienist and Dr. Reid were expert and gentle in their care. Every question was answered and concerns were addressed thoroughly. I had a very pleasant visit and would highly recommend this office!
View on GoogleThe Staff was very attentive, understanding, professional and took their time. I didn’t feel like a number I felt like an actual person that knew them for years. I felt very comfortable getting my dental implant. The Dentist and dental assistant can see I was nervous and kept asking me if I was ok and telling me I’m doing doing great. I was a big baby in that chair and wasn’t judge. I had a great experience.
View on Google
Frequently Asked Questions
About Invisalign
Is Invisalign painful?
Discomfort can occur the first few days after you start a new clear aligner. However, since Invisalign is slowly moving your teeth by focusing on different problem areas, the pain can be less than with braces. A study found that discomfort in the first week of orthodontics treatment was greater with braces than with Invisalign.Are Invisalign results permanent?
Yes, if you continue to wear your retainer after your treatment is complete, you will enjoy the benefits of straight, aligned teeth for many years to come.
Does Invisalign make your teeth yellow?
No, starting Invisalign doesn't mean your teeth will discolor. However, if you aren't brushing your teeth before putting in your trays, food and drink particles can get trapped in the trays and lead to increased plaque on your teeth. If you find your teeth are discolored after treatment, we can help you brighten your smile with our teeth whitening services.
Should I see an orthodontist?
You don't have to see an orthodontist to get straight teeth with Invisalign. While Dr. Stanislaus and Dr. Reid are not orthodontists, they have the training and experience necessary to guide your Invisalign process. They can also recommend and perform other cosmetic solutions, such as veneers, that orthodontists may not.
"Always on their A-game" Brooklyn, NY, Patients Thank Our Practice
I love my dental hygienist and my dentist. They are so helpful and knowledgeable. Thanks for caring.
View on GoogleFriendly and professional staff that are always on their A game. It's better than any other dental office I've been to.
View on Google




